ビジネス・ショート・ショート
-
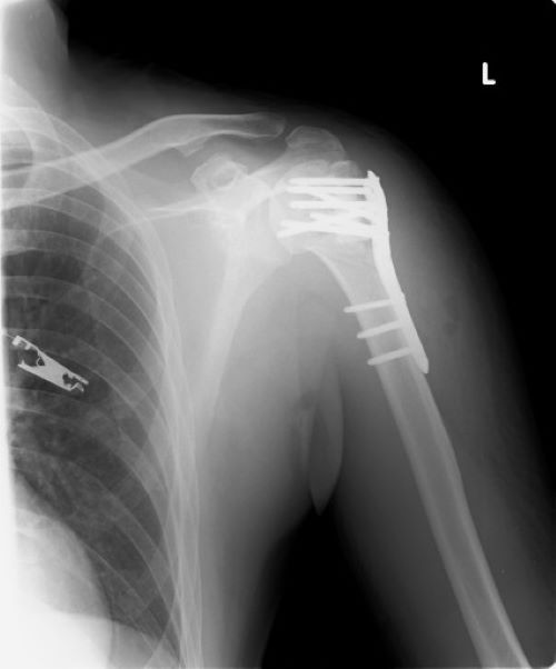
「健康な老後の大事な三つ!!」2022.4.32年前の2020年7月、コロナの第一波が収まりかけていた頃、両手に荷物を持って転倒し受け身が取れず左肩を骨折し、写真の如く手術で肩にプレートを入れました。骨折が完治したので昨年2021年10月にプレートを取り除きました。リハビリにより腕立て運動も可能に成り、腕の可動域が骨折前の8割くらい戻り、先週の岡山赤十字病院の診察で骨折の治療は終了と成りました。時に傷口がつっぱり痛みを感じますが、痛みが無くなるのは数年掛かるようです。ドクターからは「こういう治療でもう二度と病院に来ないように。」と言われました(笑)。私が最近股関節の軟骨が減り、痛くて走る事を止めてエアバイクを漕いでいると言うと、「高齢者に成り歩く事が減ると筋力が落ち、歩けなくなる。エアバイクかプールで歩き、腿の筋肉を維持する事。塩・砂糖の接種を控える事。睡眠を充分とる事。以上に気を付けて寝たきり成らないよう健康に過ごしてください。」と言われました。
1.腿の筋肉を維持する運動をする。
2.糖分の取りすぎによる肥満・塩分の取りすぎによる高血圧に気を付ける。
3.十分な睡眠を取る。(個人差はあるものの6~7時間前後の睡眠時間)
上記を必ず守り、健康に老後を過ごしたいと思います。
-
消費の切っ掛け。2022.3.27
先日2月26日発売された「スウォッチ(swatch)」と「オメガ(OMEGA)」とのコラボした「BIOCERAMIC MoonSwatch」コレクションが発売初日に店舗へ大勢の客が押し寄せ、スムーズな販売が難しいと判断で店頭販売が中止に成りました。特に渋谷店は1,500人以上集まったとも報道されており、現地は混乱を極めていたようです。写真の如く、私も休日用に欲しいような魅力的な外観で価格が260ドル(日本では33,550円)とお手頃のせいも有り想像を超える人気だったようです。全く物も場所も違いますが、我が家の近くにベトコンラーメンと言う行列が出来るお店が有ります。2020年5月に火災に遭い閉店し、その後、味を惜しむ地元出身の企業家が出資し、クラウドファンディングも成功し2022年2月に営業を再開しました。元々行列のできる繁盛店では有ったのですが、前述の話題性もあり、2月のオープン以降毎日超満員が続いています。全国の蔓延防止処置が解除され、気候も暖かくなってきました。ロシアのウクライナ進行と言う暗いニュースで少し水を差されましたが、景気は悪くないと思います。消費者は外出や買い物の切っ掛けを探しているのです。リベンジ消費をスタートしましょう。


